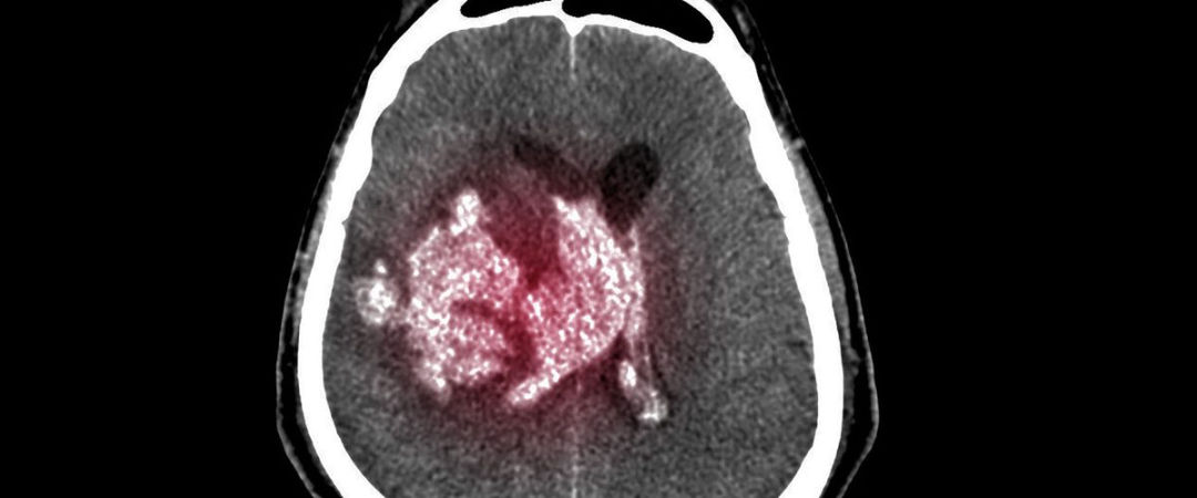
Derrame subdural

Es una acumulación de sangre entre la cubierta del cerebro (duramadre) y la superficie del cerebro.
Causas

Un hematoma subdural es a menudo el resultado de un traumatismo craneal grave. Este tipo de hematoma subdural se encuentra entre el más letal de todos los traumatismos craneales. El sangrado llena la zona cerebral rápidamente, comprimiendo el tejido cerebral. Esto a menudo ocasiona traumatismo craneal y puede llevar a la muerte.

Los hematomas subdurales también se pueden presentar después de un traumatismo craneal menor. La cantidad de sangrado es menor y ocurre más lentamente. Este tipo de hematoma subdural a menudo se observa en adultos mayores. Pueden pasar desapercibidos por varios días a semanas y se denominan hematomas subdurales crónicos.

Con cualquier hematoma subdural, las pequeñas venas que están entre la superficie del cerebro y su cubierta externa (la duramadre) se estiran y se rompen, permitiendo que la sangre se acumule. En adultos mayores, las venas a menudo ya se han estirado debido al encogimiento cerebral (atrofia) y se lesionan más fácilmente.

Algunos hematomas subdurales ocurren sin causa (espontáneamente).

Los siguientes factores incrementan el riesgo de sufrir un hematoma subdural:

Medicamentos anticoagulantes (como warfarina o ácido acetilsalicílico [aspirin])
Consumo prolongado de alcohol
Afecciones médicas que provocan que su sangre no coagule correctamente
Traumatismo craneal repetitivo, como derivado de las caídas
Ser muy joven o de muy avanzada edad

Menú

Contacto